BRIGHTEN YOUR SMILE WITH BOUTIQUE TEETH WHITENING

Boutique for brighter, whiter smiles.

Up to 8 shades whiter.

0
EXPERIENCED DENTISTS
0
SAFE AND EASY TO USE
0
RESULTS WITHIN 2-3 WEEKS
0
GUARANTEED RESULTS
0
SMILE WITH CONFIDENCE
0
TOP-UP WHITENING GELS AVAILABLE

TEETH WHITENING

At Oradent Dental Care, we only use professional take-home whitening kits because they are proven to be one of the most effective teeth-whitening methods available. With take-home kits, you stay in control of your results and choose the shade you are comfortable with. You can easily maintain your smile after the initial teeth whitening period (2 weeks) by keeping your custom-made trays safe as they are reusable with top-up whitening gels available at our practices for future top ups or an extra brightness boost.

The whitening kits are designed to be used overnight while you are asleep to allow for no disruptions to your daily routine and schedule unless you prefer to whiten during the day. With the correct care and maintenance of your teeth post whitening, your results can last for years.

Our experienced dentists and commitment to quality ensure professional assistance, high-quality products and results can make you feel confident when you book a teeth whitening appointment with us. Teeth whitening gels contain hydrogen peroxide or carbamide peroxide (bleaching agents in different strength), this gel safely penetrates the enamel and oxidises stains within the tooth while remaining completely safe and dentist approved.

Whiten your smile up to 8 shades lighter, click below to book in for a consultation.

Transform Your Smile with Enlighten Teeth Whitening Treatment

Whiten your teeth effortlessly with Enlighten teeth whitening. This is a flexible system that refines your smile and provides reliable and long-lasting results. This innovative process effectively targets deep stains and discolouration. Eventually, your teeth achieve a brighter and more radiant appearance.

Enlighten teeth-whitening is customised to suit individual needs. We blend professional support with high-quality whitening gels to ensure both comfort and safety. This is designed for convenience with noticeable improvements in just a few weeks.

Achieve a confident and whiter smile with Oradent Dental Care’s Enlighten teeth-whitening, a premium solution known for its consistency, effectiveness and impressive shade enhancement.

3 EASY STEPS TO BRIGHTER, WHITER TEETH

Consultation

Your dentist will assess your suitability for treatment and will record a shade match of your teeth. At your consultation, you will be able to discuss your expectations.

Customised Trays

A digital scan will be taken of your teeth to fabricate whitening trays for you as a customised fit.

Start Whitening

After the dentist checks that your whitening trays fit properly, you can take them home and start whitening your teeth using the whitening gel.

DISCLAIMER: You may be required to have a full check up and/or hygiene appointment if the dentist deems this necessary at your consultation.

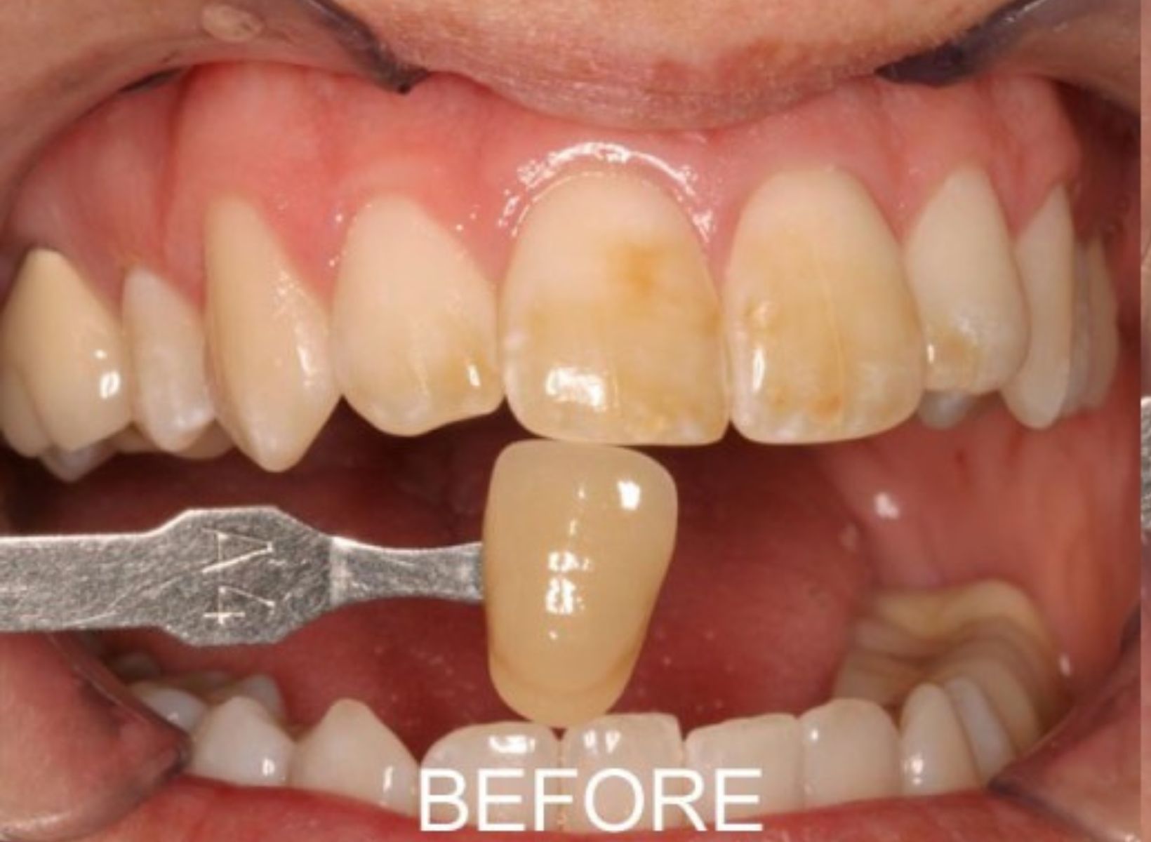
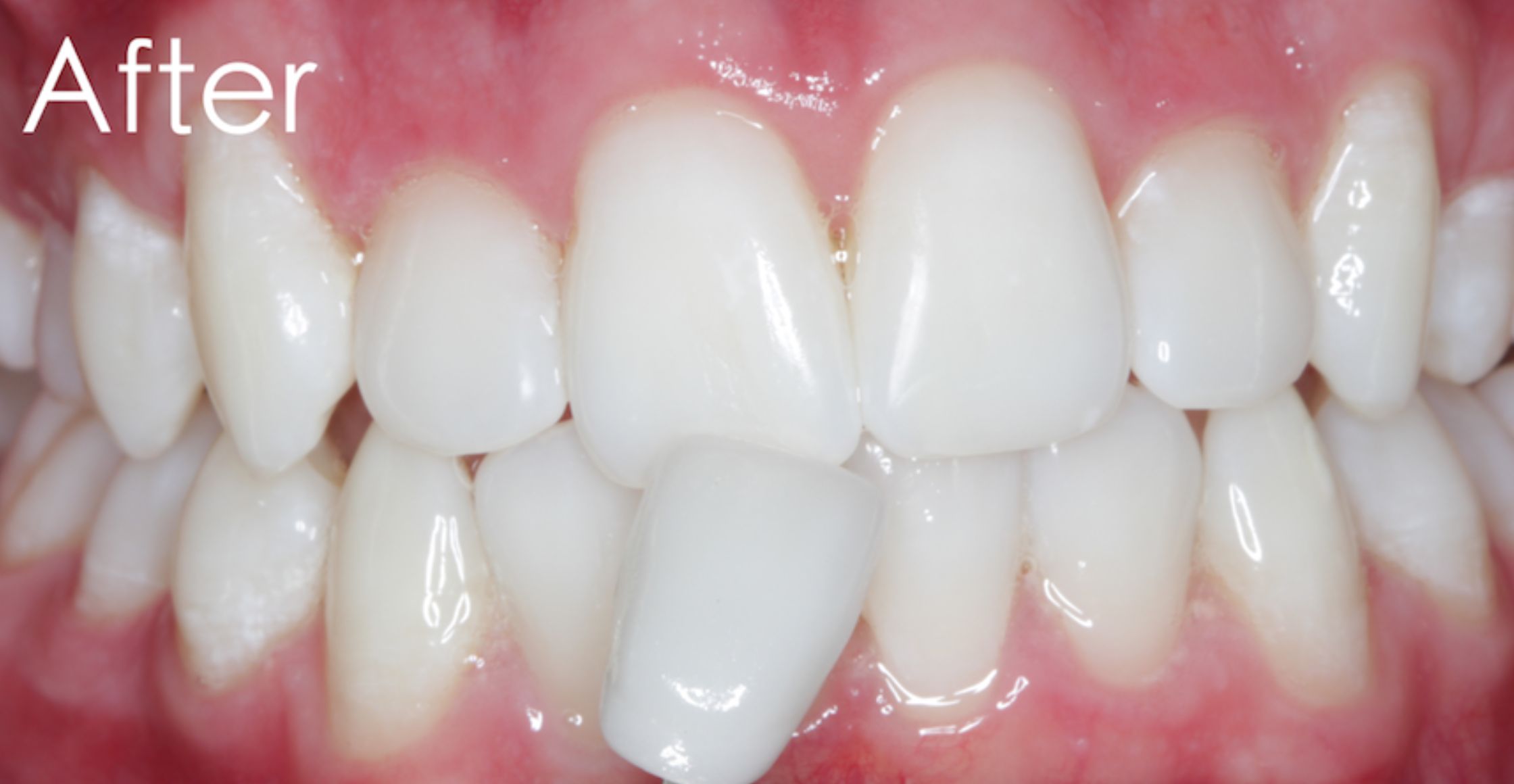
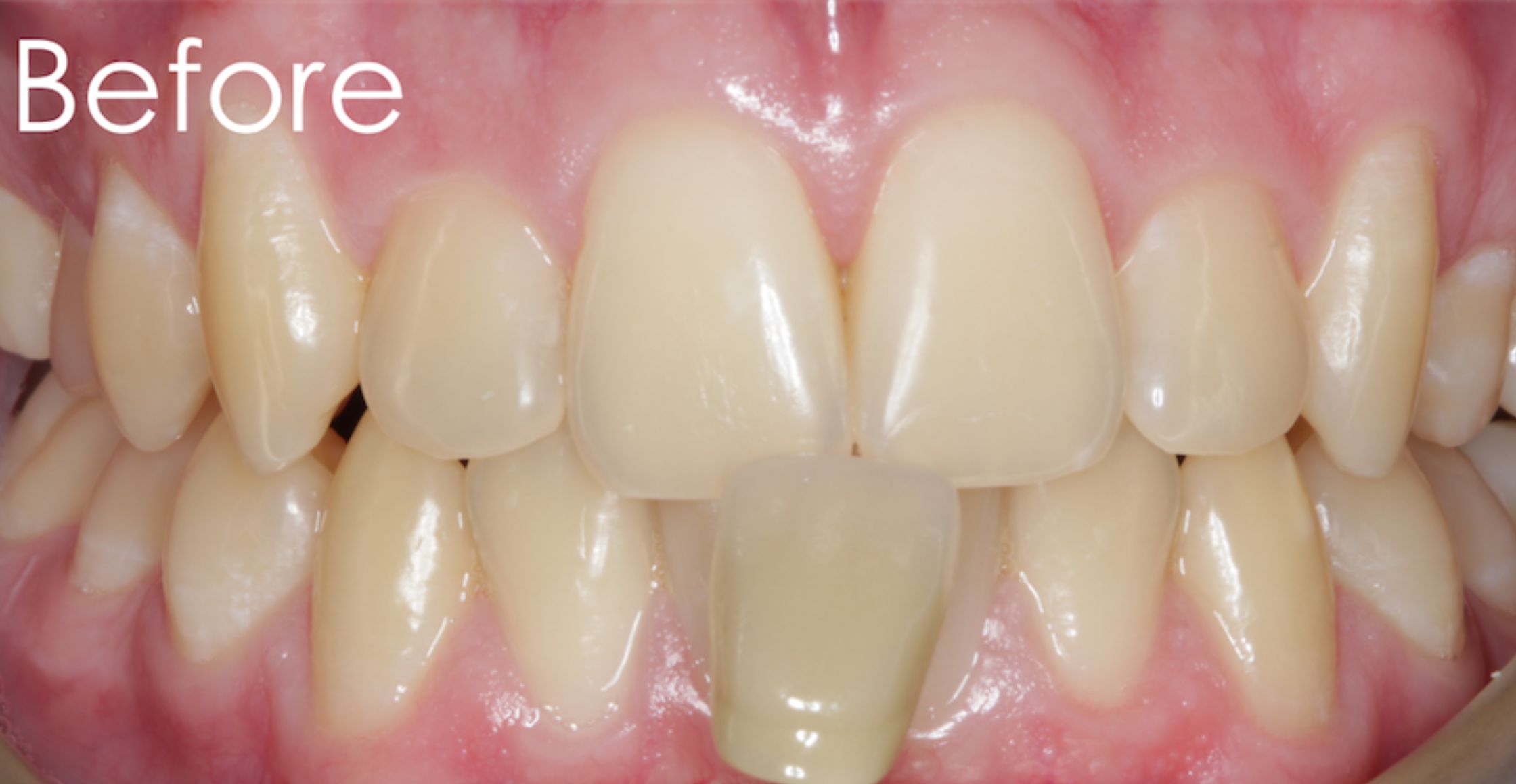
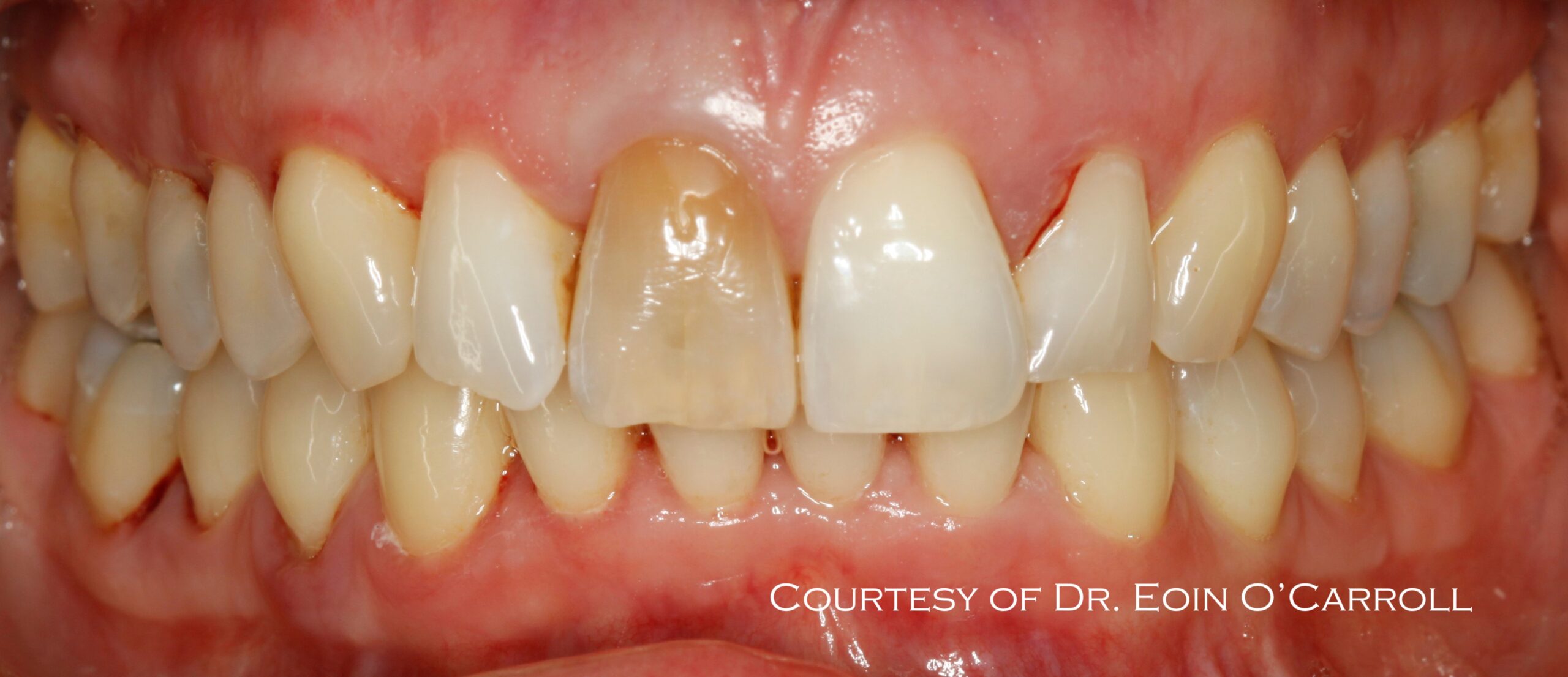
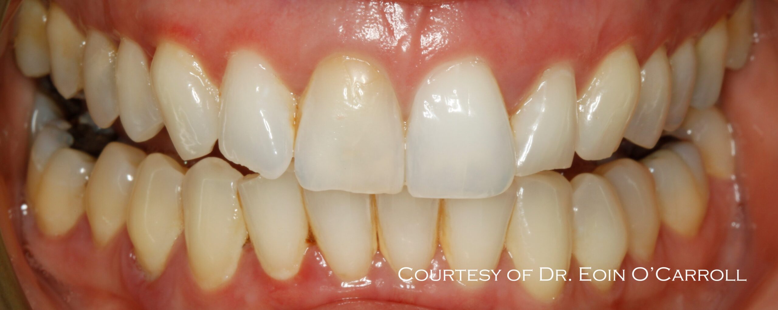
Gallery - Real Patient Transformations

See how professional teeth whitening transforms smiles with lasting brightness and renewed confidence.

Get in Touch

FAQs About Teeth Whitening

Professional teeth whitening in the UK typically costs between £250 and £600, depending on the method used and the level of whitening required. - need to double check the price we offer.

Dentist-led teeth whitening treatments such as custom take-home whitening trays or in-practice whitening are considered the safest and most effective options in the UK.

UK dentists use clinically approved whitening gels containing regulated levels of hydrogen or carbamide peroxide, applied in-clinic or via custom trays. Oradent’s favourite brand to use is Boutique Teeth Whitening.

Dental professionals at Oradent use medical-grade teeth whitening gels, custom-fitted trays and in some cases LED-assisted in-practice systems.

Yes. Most yellow teeth respond well to professional whitening, especially when discoloration is caused by food, drink or ageing.

The 2-2-2 rule means brushing twice a day, for two minutes and waiting two hours after eating acidic foods before brushing.

Professional teeth whitening supervised by a dentist offers the most effective and long-lasting results.

Tooth colour can be affected by diet, ageing, enamel thinning, smoking or genetics, which brushing alone cannot correct. Home-kit teeth whitening can help you lighten your teeth up to 8 shades.

Teeth Whitening Clinic with Serving Near by Areas

  • Ashford

    Bringing brighter smiles to Maidstone, Kent, Folkestone, and surrounding areas with our expert teeth whitening services.

  • Market Bosworth

    Our advanced teeth whitening treatments are available to patients throughout Nuneaton, Warwickshire, Hinckley, Tamworth, Leicester, and nearby communities.

  • City Way, Rochester

    Oradent’s advanced teeth whitening treatments are available to patients throughout Gillingham, Medway, Chatham, Strood, and nearby communities.

  • High Street, Rochester

    Oradent welcomes patients from Gillingham, Medway, Chatham, Strood, and nearby areas for safe and effective teeth whitening.

  • Lydd, Kent

    We warmly welcome patients from Littlestone, St Marys Bay, Dymchurch, Rye, Hythe, and nearby areas for our teeth whitening services.

  • New Romney, Kent

    Brightening smiles across Littlestone, St Marys Bay, Dymchurch, Rye, and Hythe with our expert teeth whitening treatments.

  • Southampton, Hampshire

    Delivering exceptional teeth whitening services to Bitterne, Harefield, Midanbury, Hightown, Sholing, Woolston, and nearby communities.

  • Whetstone, London

    We are proud to offer our premium teeth whitening treatments to patients across Barnet, North London, Totteridge, Mill Hill, Woodside Park, Finchley, and surrounding areas.

  • Leverstock Green, Hemel Hempstead

    Our advanced teeth whitening treatments are available to discerning patients throughout St Albans and Hertfordshire.

  • Hatch End, London

    Enhancing smiles with sophisticated, professional teeth whitening services across Pinner and North West London.