Clear, comfortable and convenient.
Invisalign clear aligners are a popular orthodontic treatment to realign your teeth, suitable for majority of patients including complex cases. Using advanced 3D imaging technology, your oradent dental practitioner will take a scan of your teeth and using a ClinCheck® system will plan your teeth alignment journey and share the results with you, reassuring you of your orthodontic journeys progress.
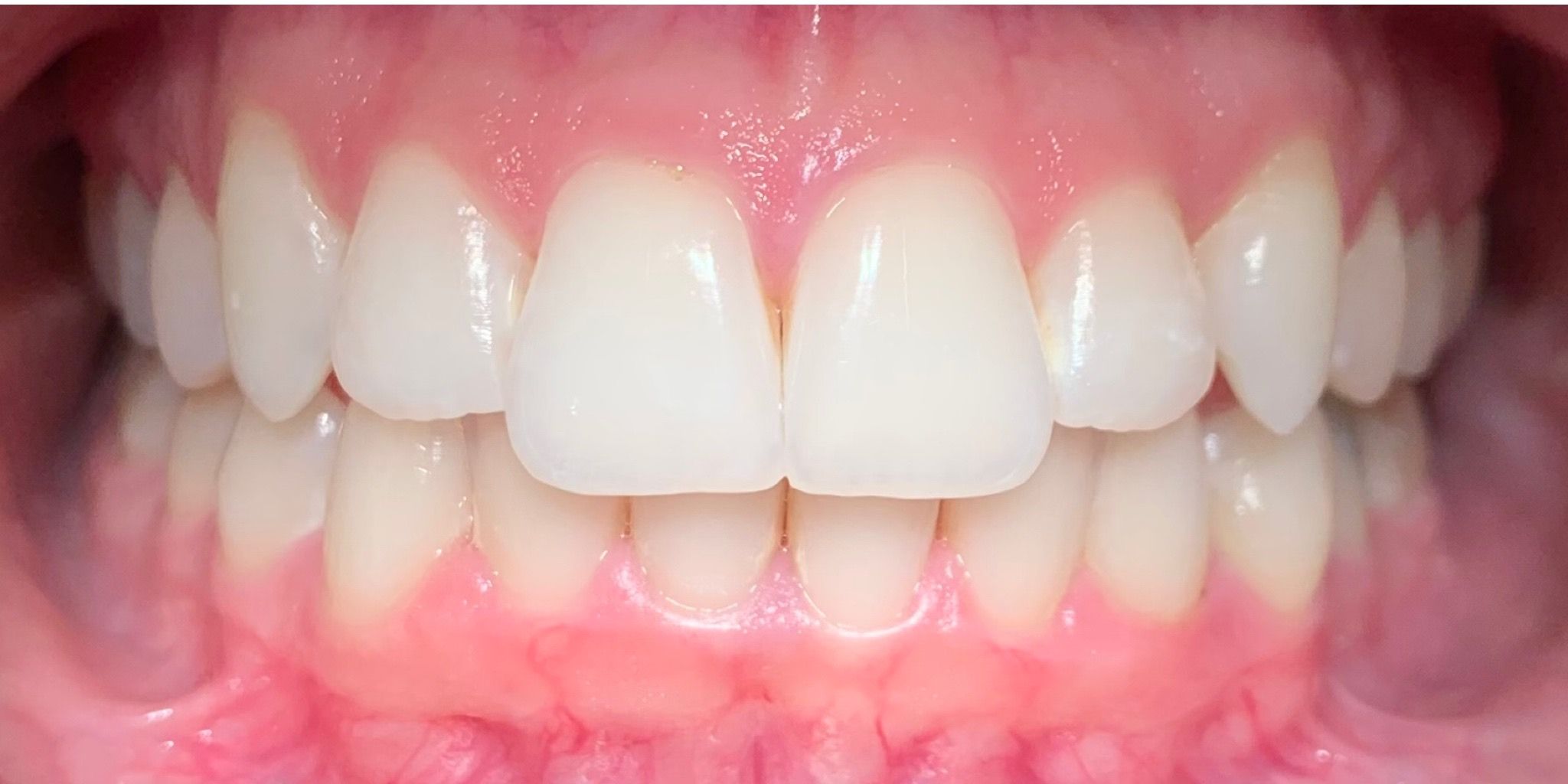
Once your aligners are fabricated and fitted, they will begin to gradually position your teeth into alignment whilst being virtually undetectable, making them a discreet alternative to traditional fixed braces.
Invisaligns easy removable aligners allow you to maintain your oral hygiene and enjoy all your favourite foods without any disruption to your daily routine as they do not require any metal brackets or wires like fixed orthodontic braces. It’s a treatment trusted by over 7 million people worldwide to transform their smiles effortlessly.
Oradent Dental Care offers patients a range of options from Invisalign Lite to Invisalign Comprehensive, so whatever your concerns there’s an Invisalign package for you.
Book a consultation today to get started with your smile transformation.
| Feature | Invisalign | Traditional Braces |
|---|---|---|
| Appearance | Clear & undetectable | Clunky visible metal |
| Removability | Removable for eating & brushing | Fixed until end of treatment |
| Comfort | Comfortable plastic trays | Brackets and/or wires cause discomfort |
| Hygiene | Easy to clean | Hard to clean |
| Food Restrictions | No restrictions with food | No sticky, or crunchy food |
| Treatment Time | Predicatble with ClinCheck | Varies and unpredictable |
| Appointments | Few in person reviews | Regular adjustments needed |
| Risk of Breakage | Low risk - Plastic | High risk Brackets or wires may break |
Book a FREE consultation to assess your suitability and meet your Invisalign dentist!
A virtual 3D plan, called the “ClinCheck,” shows how your teeth will move from their current to final position.
Once you and your provider approve the plan, custom aligners are made. The number of aligners varies per person.
You change aligners every two weeks, gently shifting your teeth into its new position. Wear your aligners for 22 hours a day.
Collect your retainers and enjoy your new straight teeth!
We offer different Invisalign treatment packages depending on the complexity of your teeth
From£2650
Included in the package:
Average Treatment Time: 6-9 months depending on complexity
Included in the package:
Average Treatment Time: 12 months depending on complexity
Included in the package:
Average Treatment Time: 12-18 months depending on complexity
Our Invisalign Dentists are located at our following clinics:
As Invisalign Diamond Providers, we help you straighten your smile in a comfortable and confident way.
Our experienced clinicians treat over 500 teeth-straightening cases per year using clear aligners, so you can feel confident you are in safe hands.
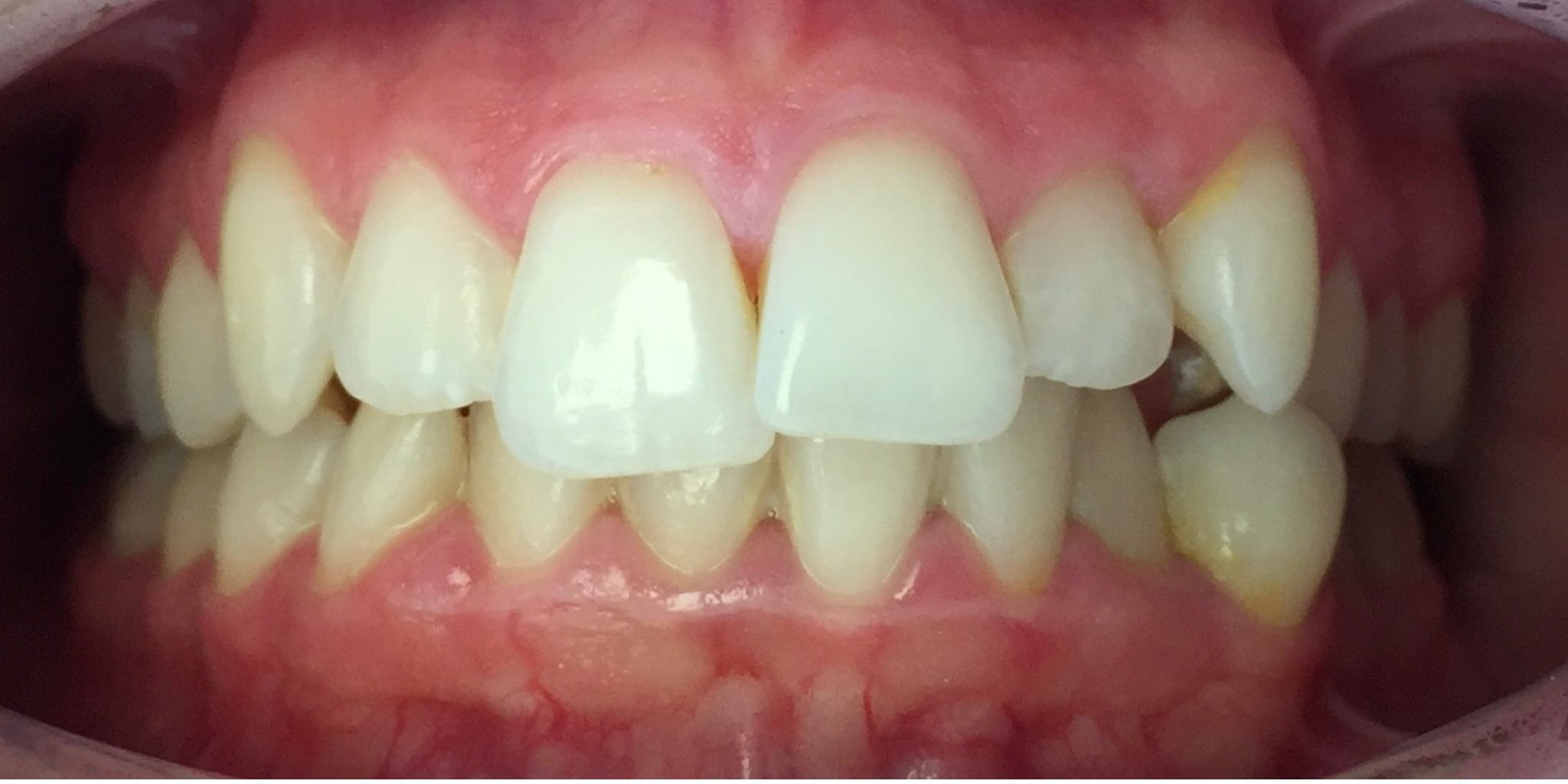
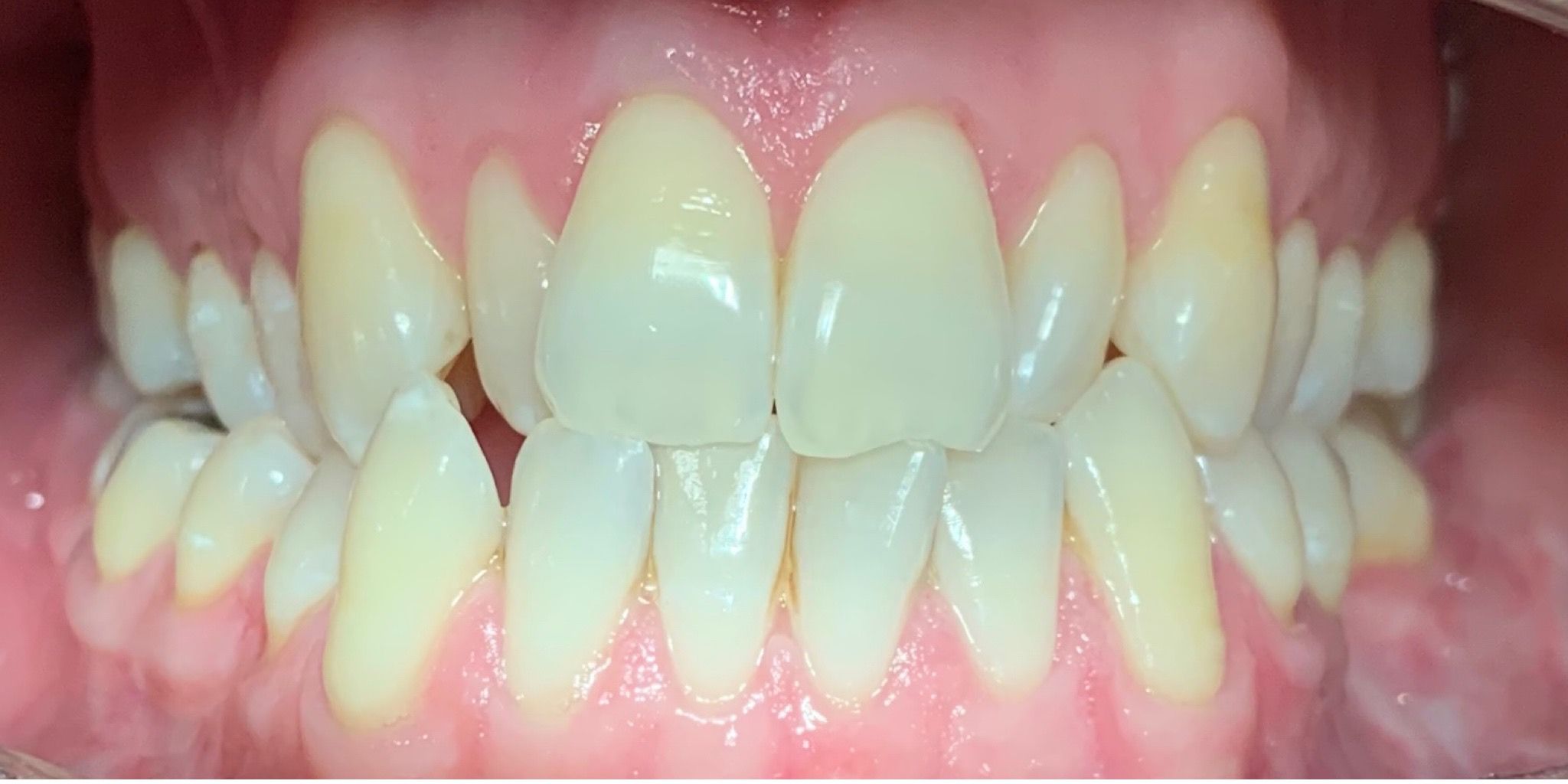
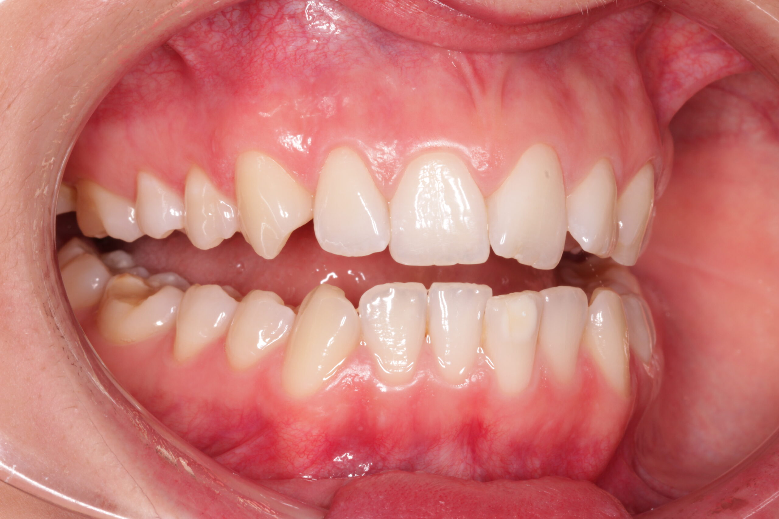
Whether you have slightly crooked teeth, gaps or more crowded teeth, we are here to listen to your concerns and help you achieve a healthy, beautiful smile.
At Oradent, we recognise that finding a way to pay for your care may be challenging. Therefore, we offer many different ways for you to pay for your treatment.
At Oradent Dental Care, we use the latest technology and modern equipment, including full mouth x-rays to carefully check your dental health before starting your Invisalign treatment.
We use Invisalign’s ClinCheck® system to design a personalised treatment plan just for you, so you can clearly see and trust your expected results.
You will also have your own Patient Care Coordinator who will support you, answer your questions, and guide you every step of the way – so you always feel confident and cared for.
Oradent dentists will assess your teeth, take digital scans, discuss treatment options, timelines and provide a personalised plan.
Invisible orthodontics are discreet teeth-straightening treatments such as clear aligners.
Yes. Teeth can be straightened at any age and many adults choose discreet options like Invisalign clear aligners for effective results.
Invisalign clear aligners treatments are typically packaged depending on the amount of aligners you need. Invisalign packages start from £2650. Contact us today for an Invisalign consultation to find out which Invisalign package would be suited for you.
Yes. Invisalign Clear aligners are clinically proven to straighten teeth when worn as prescribed. You’ll need to wear aligners for a minimum of 20-22 hours a day. How long the treatment takes depends on how complex your case is, it can take up to 18 months for very complex cases.
Invisalign can straighten teeth that are crowded, gappy. Invisalign can treat a variety of concerns such as gappy teeth, crowded teeth, open bite, deep bite, cross bite and misaligned teeth.
You’ll need healthy teeth and gums, fully erupted adult teeth and a commitment to wearing clear aligners for 20–22 hours a day.
Options include clear aligners, traditional metal braces, ceramic braces and lingual (behind-the-teeth) braces. Oradent Dental Care provides Invisalign to patients suitable.
The best method depends on your teeth, lifestyle and goals. A consultation helps determine the most suitable option.
Straighten your smile with confidence expert Invisalign treatment serving Maidstone, Kent, Folkestone, and the surrounding areas.
Experience premium Invisalign treatment, available to patients across Nuneaton, Warwickshire, Hinckley, Tamworth, Leicester, and surrounding communities.
Transform your smile with Oradent’s advanced Invisalign treatment, serving Gillingham, Medway, Chatham, Strood, and beyond.
Oradent provides advanced Invisalign solutions to patients throughout Gillingham, Medway, Chatham, Strood, and the surrounding communities.
We’re delighted to welcome patients from Littlestone, St Marys Bay, Dymchurch, Rye, Hythe, and the surrounding areas for our expert Invisalign care.
Achieve a straighter, more confident smile with our expert Invisalign treatment, proudly serving Littlestone, St Marys Bay, Dymchurch, Rye, Hythe, and nearby communities.
Delivering premium, advanced Invisalign treatment to patients across Barnet, North London, Totteridge, Mill Hill, Woodside Park, Finchley, and nearby areas.
Experience advanced Invisalign treatment, thoughtfully designed for discerning patients across St Albans and Hertfordshire.
Providing advanced, professional Invisalign solutions to patients throughout Pinner and North West London.