DENTAL CROWNS AND VENEERS
Protect your teeth with dental crowns.
Improve your smile with dental veneers.
PREMIUM MATERIALS
EXPERIENCED DENTAL CLINICIANS
AFFORDABLE PRICES
PAYMENT PLANS AVAILABLE
CROWNS AND VENEERS
At Oradent Dental Care, our dental clinicians will complete a thorough initial examination of your teeth to determine whether a dental veneer or dental crown would be the most appropriate restorative care for your tooth. As part of your initial dental check up, an x-ray of the area will be taken to assess the general health of your teeth.
While the processes are similar for crowns and veneers, they both serve different purposes. Veneers are usually thin porcelain restorations used mainly for aesthetic purposes and for minor functional improvements. They are commonly used to treat concerns such as discoloration, minor misalignments and misshapen teeth while preserving the tooth structure with only minimal preparation. Dental crowns require more tooth structure to protect and cover the entire tooth structure to provide strength, stability and durability. Depending on your clinical needs and cosmetic goals, crown options might include strong zirconium crowns, natural-looking Emax crown restorations and classic porcelain crown solutions.
At the preparation stage for both veneers or crowns, we will ensure that you are comfortable throughout for your appointment by applying local anaesthetic so that you can be free of any sensation while the dentist prepares your tooth for a 3D scan to ensure precision. After the scan is taken, the records are sent to a dental lab to fabricate a custom-made crown/veneer to ensure optimal fit.
Keep scrolling to see more!
CROWNS AND VENEERS - WHAT’S THE DIFFERENCE?
| FEATURE | Veneers | CROWNS |
|---|---|---|
| Purpose | Used to improve the appearance of teeth, restore function | Used to restore function and strength |
| Appearance | Shade matched to your other natural teeth for seamless smile | Shade matched to other teeth but may have a |
| Tooth Preparation | Minimal preparation needed | More structure removed for purpose |
| Best Suited | Front teeth | Back teeth (Molars) |
| Coverage | Only covers the front of the tooth | Covers all surfaces of the tooth including back |
| Material | Thinner aesthetic material | Thicker material for durability and strength |
| Reversibility | Not reversible | Not reversible |
3 TREATMENT STEPS
1
Dental Assessment
Your dentist will start with taking a shade match of your teeth and discuss your treatment in detail answering any questions you may have. they will need to perform an assessment to see which type of tooth cap whether crown or veneer is needed.
2
Preparation
Your dentist will prepare your teeth by gently removing some of your tooth structure. Within the same appointment a digital scan or impressions will be taken of your teeth to create a custom made crown/veneer, along with recording the shade of the material needed to match the rest of your teeth.
3
Crown/Veneer Fit
Once the custom made permanent crown/veneer is created by the dental laboratory/technician, your dentist will then secure bond the dental cap with durable dental cement to your tooth and check your biting surfaces.
Veneers: Between the veneer preparation and final veneer fit appointment, an additional appointment may be required to allow for a smile trial. At this separate appointment, the veneer is created by the dental laboratory to preview the shade, size and appearance of the veneer aesthetics in the patient’s mouth. This would also be an opportunity to instruct for any changes before the final fit and to ensure that your expectations are met.
Please note that this is a stage only application to dental veneers and not dental crowns.
DENTAL CROWN AND VENEER EMERGENCY DENTAL CARE
Has your dental veneer come out of place or have you lost your dental crown? Our dental practice welcomes patients who need emergency care for recementing crowns or veneers.
If you have lost your crown or veneer, we can scan your teeth for a new dental cap to be customised and fit for you. We also provide clear guidance on the cost of dental veneers or crown replacement costs, so you understand your treatment options before moving forward.
Whether you need emergency veneer recementing or a complete tooth crown replacement, we offer daily appointments to restore your smile and help prevent further damage.
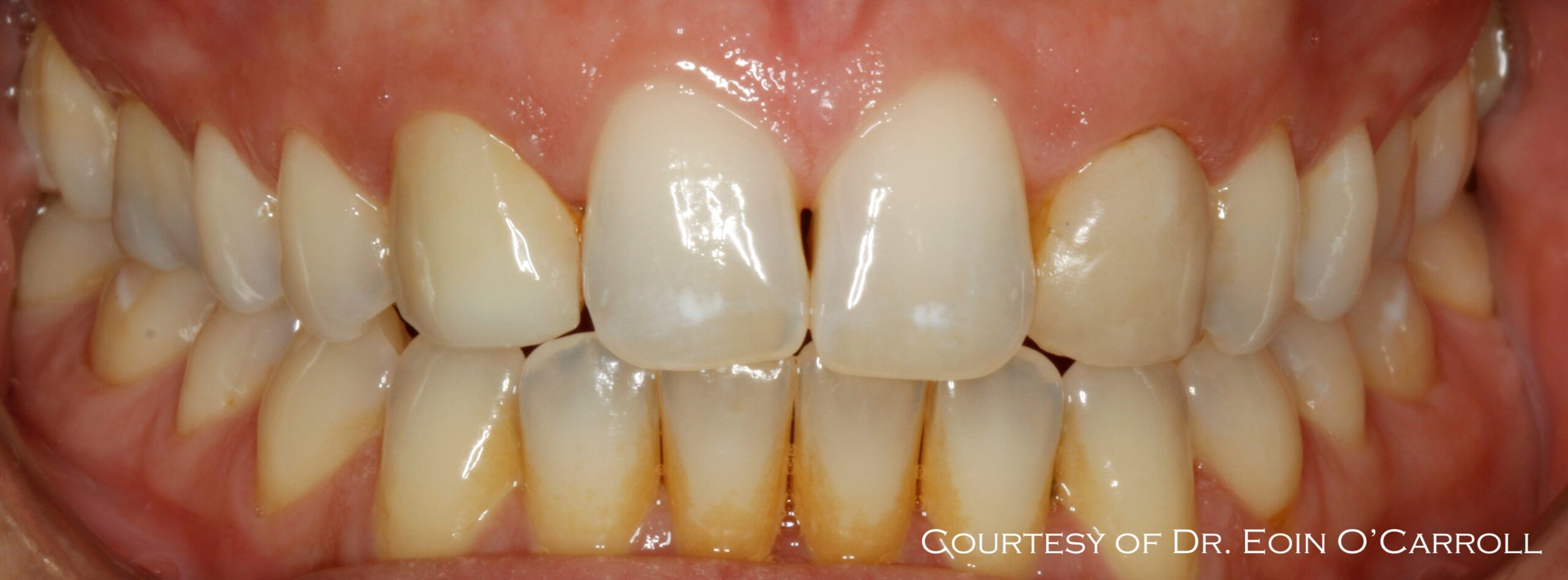
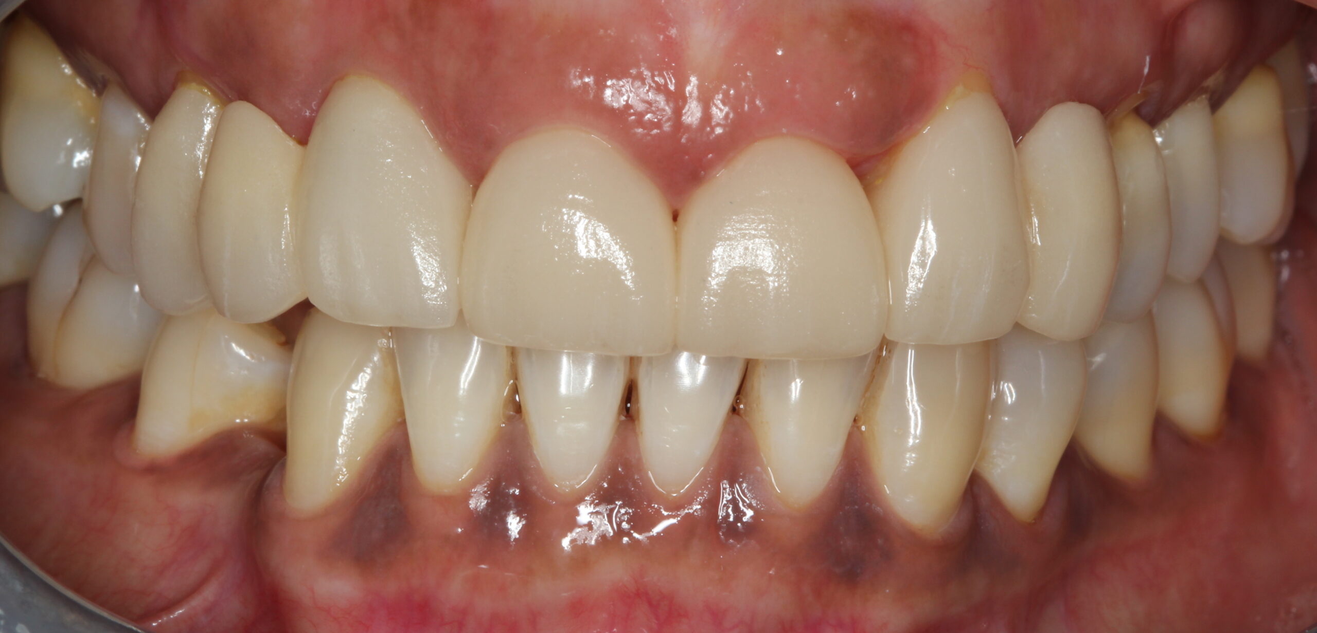
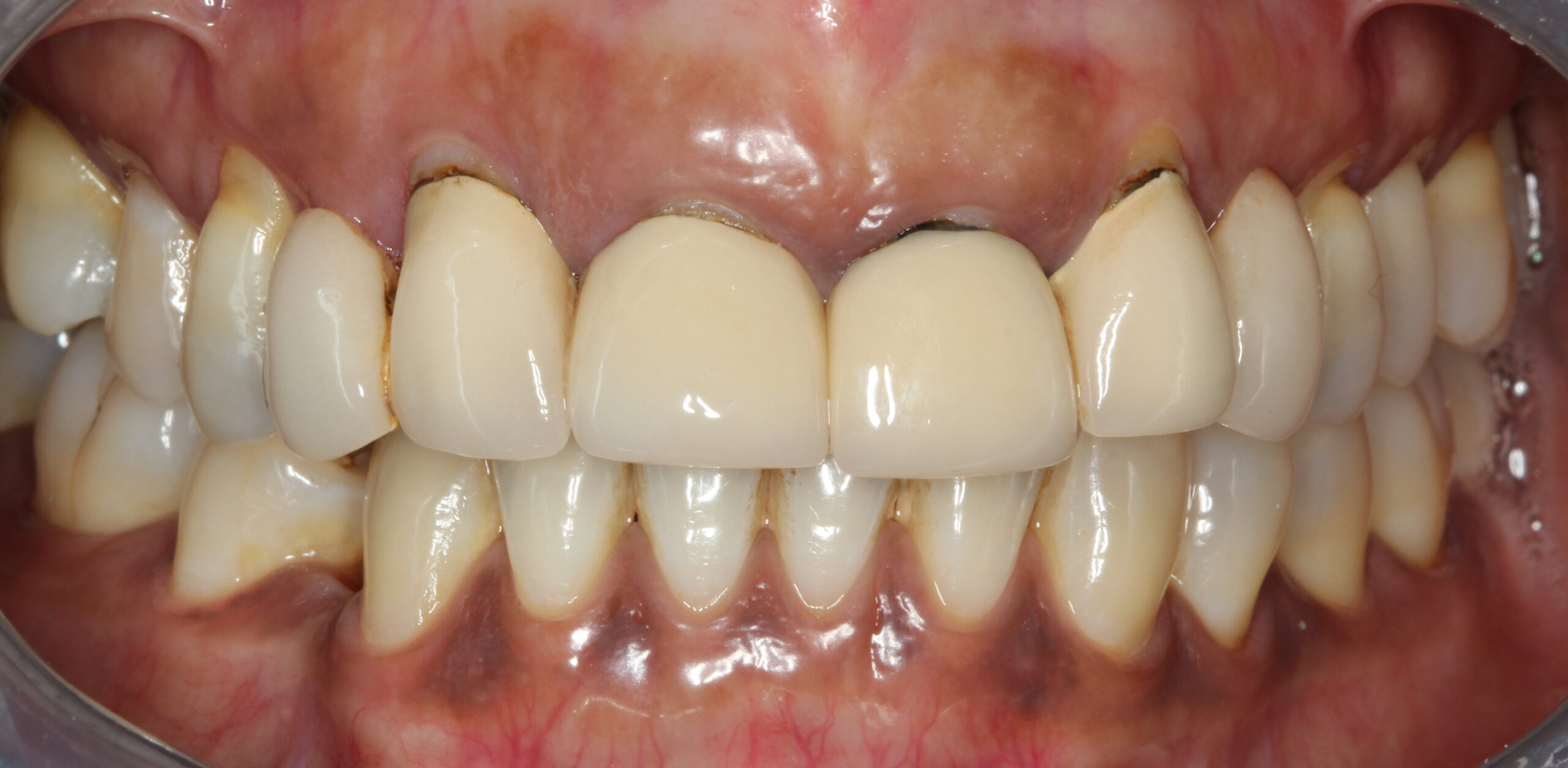
Gallery - Real Patient Transformations
Get in Touch
FAQs About Dental Crowns and Veneers
Getting a dental crown is not usually painful as the procedure is carried out under local anaesthetic. You may experience mild sensitivity or discomfort afterwards, which typically settles within a few days.
Placing a dental crown usually takes two appointments: one for tooth preparation and impressions, and a second visit to fit the final crown. Each appointment typically lasts 30–60 minutes.
Back molars are often the most challenging teeth to prepare for crowns because of their position, strong chewing forces, and limited access at the back of the mouth.
Under the NHS, a crown falls under Band 3, with a fixed fee. Private crown costs vary depending on the material used and the dental practice.
Crowns require reshaping of the natural tooth, which is irreversible. In some cases, there may be temporary sensitivity, and crowns may need replacement over time due to wear or damage.
NHS crowns are made from durable materials chosen for clinical need and cost-effectiveness, while private crowns offer a wider choice of materials and aesthetics, such as all-ceramic or zirconia options.
The dentist prepares the tooth by reshaping it, takes impressions, fits a temporary crown if needed and later securely bonds the permanent crown to restore strength, function, and appearance.
Veneers in the UK typically cost £800–£1,200 per tooth, depending on the material and complexity.
A full set usually involves 6–10 teeth, focusing on the teeth visible when you smile.
Cosmetic veneers typically last 10–15 years, depending on care and habits.
Dental Crowns and Veneers For Nearby Areas
-
Ashford
High-quality crowns and veneers designed to restore healthier, natural-looking smiles across Maidstone, Kent, Folkestone, and beyond.
-
Market Bosworth
Crowns and veneers designed with precision to support healthier, confident smiles throughout Nuneaton, Warwickshire, Hinckley, Tamworth, Leicester, and surrounding areas.
-
City Way, Rochester
Oradent provides expertly crafted crowns and veneers, helping patients across Gillingham, Medway, Chatham, Strood, and surrounding communities achieve confident smiles.
-
High Street, Rochester
Oradent delivers high-quality crown and veneer solutions to patients throughout Gillingham, Medway, Chatham, Strood, and nearby areas.
-
Lydd, Kent
We welcome patients from Littlestone, St Marys Bay, Dymchurch, Rye, Hythe, and nearby communities to enhance their smiles with our trusted crowns and veneers.
-
New Romney, Kent
Patients across Littlestone, St Marys Bay, Dymchurch, Rye, Hythe, and surrounding areas are always welcome to benefit from our high-quality crown and veneer treatments.
-
Southampton, Hampshire
Comfortable, long-lasting crown and veneer solutions trusted by patients across Bitterne, Harefield, Midanbury, Hightown, Sholing, Woolston, and nearby areas.
-
Whetstone, London
We provide high-quality crown and veneer solutions to patients throughout Barnet, North London, Totteridge, Mill Hill, Woodside Park, Finchley, and surrounding areas.
-
Leverstock Green, Hemel Hempstead
High-quality crowns and veneers, thoughtfully provided for patients across St Albans and Hertfordshire.
-
Hatch End, London
Crowns and veneers delivered with expertise to restore natural-looking, confident smiles throughout Pinner and North West London.
